Fachzahnärztin für Kieferorthopädie

Fachzahnarzt für Kieferorthopädie
Fachzahnarzt für Oralchirurgie

Montag – Donnerstag:
9 – 12 Uhr & 13 – 17.30 Uhr
Freitag nach Vereinbarung

Königstraße 17, 87435 Kempten
Telefon: (0831) 960 72 00
Telefax: (0831) 960 72 02

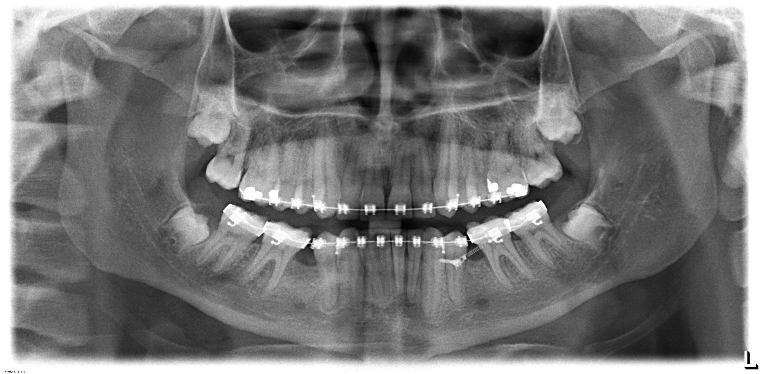
Mikroschrauben

Mikroschrauben stellen eine innovative und bewährte Methode in der Kieferorthopädie zum Erreichen einer maximalen Verankerungssituation bei der Behandlung mit einer festen Spange dar.


Die Schrauben bestehen aus Titan und sind somit sehr körperverträglich.


Mikroschrauben werden dann angewendet, wenn man bestimmte Bewegungen von Zähnen mit der festen Spange ausführen muss und man einen zusätzlichen Halt benötigt, damit es nicht zu Wechselwirkungen auf die anderen bewegten Zahngruppen kommt. Als Beispiel sei hier ein einseitiger Lückenschluss bei fehlenden oder nicht angelegten Zähnen genannt.

Das Einbringen der Schrauben erfolgt schmerzarm unter Lokalanästhesie, ohne dass ein Schnitt gesetzt werden muss.


Nachdem die Schraube in den Kiefer eingebracht ist, kann man sie nach einer kurzen Einheilungszeit belasten. Das Entfernen der Schraube nach der Behandlung kann ohne Betäubung erfolgen.