Fachzahnärztin für Kieferorthopädie

Fachzahnarzt für Kieferorthopädie
Fachzahnarzt für Oralchirurgie

Montag – Donnerstag:
9 – 12 Uhr & 13 – 17.30 Uhr
Freitag nach Vereinbarung

Königstraße 17, 87435 Kempten
Telefon: (0831) 960 72 00
Telefax: (0831) 960 72 02

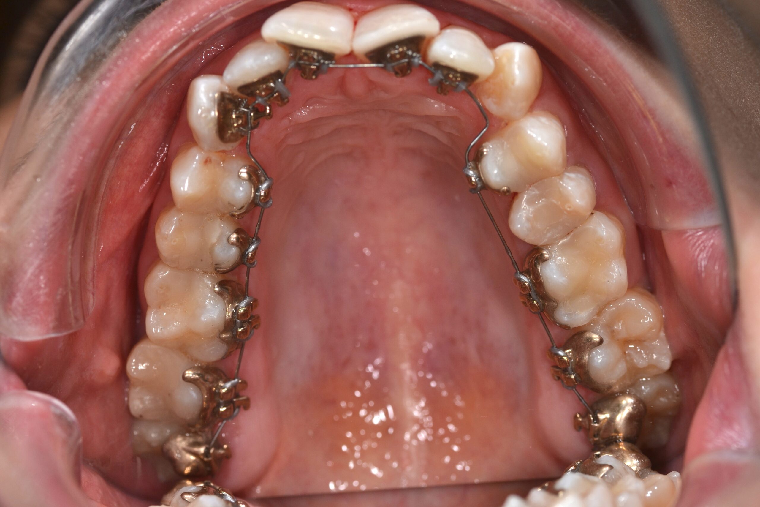
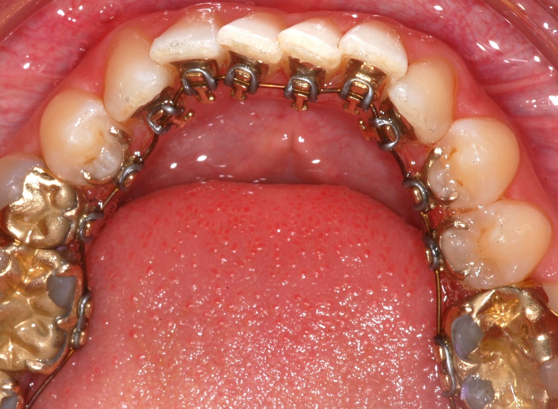
Lingualtechnik

(Anfangsbefund)


Für den ästhetisch anspruchsvollen Patienten können wir eine Behandlung mit einer innenliegenden Spange mittels der Lingualtechnik anbieten.


Bei dieser besonderen Technik wird die feste Spange von innen auf die Zähne geklebt, so dass diese „unsichtbar“ bleibt.


Bei dem von uns verwendeten „Incognito®“-System werden zunächst mit einem Spezialabdruck präzise Modelle angefertigt.


Auf diesen Modellen wird für jeden Patienten individuell:


– die Behandlung mit Hilfe eines diagnostischen Set-Up simuliert

– die Brackets computergestützt hergestellt

– die dazu passenden notwendigen Drahtbögen von einem Biegeroboter hergestellt


Durch diese in Deutschland entwickelte und weltweit einmalige Technik wird eine extrem hohe Präzison gewährleistet, die Spange kann zierlich und flach gestaltet werden, durch die erfolgte Individualisierung kann neben weiteren Vorteilen eine verkürzte Behandlungszeit erreicht werden.


Unsere Praxis ist für die Lingualtechnik mit dem „Incognito®“-System speziell zertifiziert.